Creating beautiful smiles since 1969
string(74) "/var/www/clients/client0/web24/web/wp-content/themes/gentledental/page.php"
The body is an amazingly clever and well-designed system. When everything goes as designed, the adult teeth erupt into their correct place, allowing the teeth to function properly, feel comfortable, and look pretty good. However, jaws sometimes don’t grow optimally, and teeth can end up out of position.
For example, you could have a combination of the following:
The immediate effect of having crooked teeth can influence how you breathe, eat, speak, kiss and smile. In particular, musicians, singers, actors and broadcasters can be susceptible to changes in the mouth and speech quality. Athletes undoubtedly benefit from a significant airway to facilitate their sport.
There can be knock-on effects regarding your dental health, particularly if your bite is thrown out. This can impact how stable your teeth and jaw joints are over your lifetime.
The goal of the brace treatment is to give you a good smile that feels and looks fab, and one where your bite is well balanced. Well-positioned teeth can also be easier to clean and care for. It is often better to be proactive and address the problem early. This can mean less treatment and better results for some patients.
We combine personalised care, modern technology, and a strong focus on long-term dental health.
Clear braces are great for simple to moderate complexity tooth straightening. They are comfortable and easy to wear, which is why it’s the most popular system worldwide.


You can find out more by visiting www.invisalign.co.uk
Some children of primary school age have teeth or jaws that are not developing in balance. In this case, braces may be indicated to harness the natural growth of the developing child. Consultations are available to see if your child would benefit from this approach. MRI imaging may be helpful to assess if anything is impeding the growth of the jaws, and this information can then be used to improve jaw growth as a child develops.
This patient felt that her eye teeth were too pointy looking. Since the teeth were in great condition, they were gently moved with clear braces. Putting teeth where they are meant to be gives a beautiful “After” smile, and, super importantly, the bite has been improved. This means that the facial muscles, jaw joints, teeth, and nerves exist in an optimised balanced position that gives lasting comfort and reduces the chances of teeth breaking.


This patient was self-conscious about the gap and wonky front tooth. After the clear braces were removed, some bonding was placed on the teeth to improve the smile and restore smiling confidence.


This gentleman felt he could only see his front teeth when he smiled in photos. The teeth are all squashed together and trapped, which occasionally leads to facial muscle discomfort, tooth wear and jaw joint aches. The brace treatment was completed with a series of clear braces, which gently aligned the teeth and broadened the smile.


This lady had suffered from headaches, clicking jaw joints and tinnitus for years before she came to Gentle. Her teeth were misplaced to such an extent that her lower jaw couldn’t move around freely. This set up tensions in her head and neck muscles and resulted in pains, headaches and ringing in her ears.
Initially, the teeth were aligned with a fixed brace to broaden the arch. After the brace, the teeth are straighter and easier to clean.


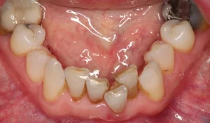
On the left below, this is the start of treatment where hardly any lower teeth are showing. On the right you can see the crooked teeth before the braces went on. The teeth are trapped, which causes them to wear down, chip and break.


The braces were removed, and temporary crowns were placed on the top front teeth. What you can’t see is that there were abscesses under the gum and gum disease. These infections were treated, which promotes mouth and overall body health. Gum contouring was also completed to improve the proportions and extend the lifespan of the teeth.


Now, the lower teeth are much more visible after the brace and bonding treatment. The lower jaw is now “untrapped”, meaning the teeth can slide around comfortably in a muscle-balanced way. We were delighted when the patient told us that most of her facial and jaw joint discomfort had resolved and her tinnitus had reduced in severity.


Crooked teeth can be caused by a variety of factors, including jaw size mismatch, delayed or abnormal eruption of teeth, childhood habits such as thumb sucking, genetics, accidents, or even having too many or too few teeth.
Beyond appearance, crooked teeth can affect how you bite, chew, speak, and even breathe. They can also be harder to clean properly, increasing the risk of tooth decay, gum disease, and long-term wear on your teeth and jaw joints.
Braces help create a balanced bite, improve the appearance of your smile, and make teeth easier to clean. For many people, treatment also improves comfort, jaw stability, and overall dental health in the long term.
Not usually. At Gentle, we try to avoid extractions where possible. Instead, we use techniques that create space naturally, helping to achieve a broader, healthier smile while keeping as many natural teeth as possible.
We offer different options depending on your needs and preferences. These include traditional fixed braces and clear aligners such as Invisalign. Clear aligners are discreet, smooth, removable, and suitable for many mild to moderate cases.
Treatment time varies depending on the complexity of your case. Some simple cases can be completed in as little as 6 months, while more complex treatments may take 18-24 months. Your dentist will give you a clear estimate during your consultation.
Yes. Braces are effective at any age. While children can benefit from early intervention as their jaws develop, adults often choose braces to improve appearance, comfort, and dental health. Clear aligners are especially popular with adults due to their discreet look.
Clear aligners are custom-made, removable trays that gradually move your teeth into position. You wear each set for 1-2 weeks before moving to the next. They are comfortable, nearly invisible, and can be removed for eating, brushing, and special occasions.
Good oral hygiene is vital. Brush after meals, floss daily, and follow the cleaning advice provided by our team. We’ll show you how to keep both your teeth and braces spotless throughout treatment.
Yes. After treatment, retainers are essential to keep your teeth in their new positions. You can choose between fixed retainers (attached discreetly behind the teeth) or removable retainers, depending on your preference.