Creating beautiful smiles since 1969
string(74) "/var/www/clients/client0/web24/web/wp-content/themes/gentledental/page.php"
Discoloured or darkened teeth can affect confidence and make people feel reluctant to smile. While many associate tooth colour changes only with yellowing, teeth can actually take on shades of pink, green, blue, brown, or even black. These changes can occur for a variety of reasons.
In some cases, trauma such as a sports injury or long-term grinding can cause a tooth to die, resulting in a dark or blackened appearance. Decay that reaches the inner nerve chamber can also lead to what’s often called a “dead tooth” discolouration. Other factors include certain medications, past dental treatments, or natural changes over time.
The first and most important step is a careful diagnosis to identify the exact cause of the discolouration. Once we know why it has occurred, we can recommend the most effective treatment. Options may include professional whitening, internal bleaching (for non-vital teeth), composite bonding, veneers, or crowns – all tailored to restore harmony to your smile.
Our goal is always the same: to give you back the confidence to smile freely and comfortably.
Each treatment is tailored to the cause of the discolouration, ensuring your smile looks natural and healthy again.
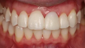
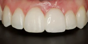
This gentleman fell and broke his front 2 teeth and he was really self-conscious about the appearance. Bleaching, two composite veneers and white fillings were placed on the front two teeth to give him a confident smile.




This lady didn’t like the large front tooth and the dark gum above the tooth. A gum graft was placed to do both masking the dark root and shortening the tooth. Composite bonding veneers were placed on the adjacent teeth to whiten the smile.


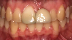
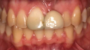
This young girl was extremely self-conscious of the colour of her teeth. When she was younger her front tooth was knocked out. The gap was filled with a metal backed sticky bridge with a short front tooth. The girl didn’t like that the grey metal shone through and made her teeth look dark.



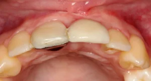
Due to the accident now there is a muscle pulling above the short front tooth – it’s not meant to be there and it’s causing instability.

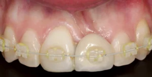
This is after the muscle has been removed. The gum is now more stable and the bone loss is now evident from the missing tooth. The braces are straightening her teeth.

The brace treatment has finished at this stage the girl whitened her teeth.

The metal bridge was replaced with a white temporary bridge. The gum dip has been plumped out with both bone and gum grafts. This makes the teeth more stable. The front teeth are now more in proportion. To achieve this look, edge bonding has been placed on the front tooth as well to improve shape.




The final porcelain all white sticky bridge. A sticky bridge is the most conservative type of bridge – this means that we need to remove the least amount of tooth to place it.



A tooth can darken for several reasons. Trauma (such as a knock or sports injury), decay reaching the nerve chamber, root canal treatment, or heavy grinding can all cause a tooth to lose vitality and change colour. Sometimes staining from medications or lifestyle habits is also a factor.
Standard whitening treatments work well for general discolouration but are less effective for “dead teeth.” In these cases, internal bleaching (whitening from inside the tooth) or restorative options like veneers or crowns may be more suitable.
Depending on the cause, treatments may include professional whitening, internal bleaching, composite bonding, veneers, or crowns. Your dentist will recommend the best option after diagnosing the reason for the discolouration.
Yes. Restoring a discoloured tooth not only improves appearance but may also involve treating underlying problems such as decay or damage. This helps protect the long-term health of the tooth and surrounding tissues.
Not always – sometimes discolouration is purely cosmetic. However, because darkening can also indicate infection, trauma, or nerve damage, it’s important to have it checked by a dentist to rule out any underlying issues.