Creating beautiful smiles since 1969
string(74) "/var/www/clients/client0/web24/web/wp-content/themes/gentledental/page.php"
Of course, no one wants to lose a tooth, and we try to save a tooth if possible; however, sometimes, they are beyond repair. The body is amazingly designed, and the mouth is no different – each tooth is shaped and positioned for a precise reason. So, even if you can’t see a missing tooth, it still matters. Since our bodies are designed for function only, the physical impact of tooth loss reverberates around the mouth and body and is one of the key reasons why dental implants are often recommended. Losing a tooth is more than just an appearance or functional issue. Following tooth extractions, people can also feel a sense of loss, disappointment, shame or guilt.
After a tooth is lost, you may experience the following:
Implants replace missing teeth with substantial additional benefits, including:
Implant dentistry is a fascinating and fast-developing field. Problems that were impossible to fix even 10 years ago are now tackled effectively.
With 25 years of surgical experience and a focus on continually keeping up to date with the latest methods, equipment and digital technology, we strive to:
We realise that implant treatment can be daunting for some patients. Before implant placement we provide medications to make you as comfortable as possible. Then we use double-strength anaesthetic for procedures to ensure adequate numbing. After the implants are placed, patients leave with a goodie bag of medications to make their healing period as successful and manageable as possible. Additionally, conscious sedation is available to take the edge off appointments.
We provide the full range of bone and gum grafting to improve the appearance and longevity of the implants that we place. Moreover, due to our range of implant treatments, we can restore most missing teeth and create treatment options for reduced budgets and individual preferences.
Our style is to work as a multidisciplinary team so that the most suitable dentist performs each treatment. We partner with a superb oral surgeon from London who places advanced Zygomatic implants for people with extensive upper jaw bone loss.
We are passionate about dental education and provide a range of dental courses, including implant training at Gentle.
An implant is a titanium post that’s placed under your gum into the jaw bone. Your body grows bone over the implant keeping it well anchored. A new tooth is then designed to connect to the top of the implant so you can eat, speak and smile with confidence.

Just like teeth, implants need a certain amount of bone or gum to support them. If you have lost bone or the gum is not sitting in the best position, we can help correct the problem. These advanced treatments, called Bone Grafting or Gum Grafting, can springboard you toward a better-looking and more stable implant result.

Did you know you don’t always need an implant to replace every tooth? For example, if you have a three-tooth gap, sometimes the dentist will advise a three-tooth bridge supported on a platform of two implants. This approach closes your gap, functions better and is more cost-effective than three single implants.
If you have more significant gaps, an entire jaw without teeth or complete dentures, there are specific solutions to reconstruct what you have lost and enhance the quality of your life.
The two main approaches are:
Advances in modern dentistry mean faster treatment in some cases.
For example,
Suitability for faster implant treatment depends on a variety of factors. Please call for a consultation to discuss the relevant details.
At each stage of your implant treatment, we keep in touch with you to ensure your satisfaction. We show you how to clean around our “EasyClean” designed implants, which maximise health and promote treatment longevity. People are encouraged to adopt a healthy lifestyle and daily cleaning routine to make implants last as long as possible. A regular hygiene schedule should be adhered to to keep the implants clean and healthy. A dentist should check the implants, gum and bone health every 6-12 months.
The advanced training, treatment complexity and material processes involved in providing you with implant solutions mean that the investment is higher than in general dentistry.
Implant work typically takes 3-12 months to complete. Temporary teeth are always an option, so you are never left with a gap from the start of treatment. The temporary teeth can be used as a prototype for long-term teeth. This means you are looking better as you proceed.
This time frame and our wide range of finance schemes means more choices regarding your payment options for this investment. All the time, patients tell us how the benefits of implant treatment were worth it in terms of time and money.
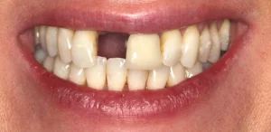
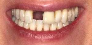
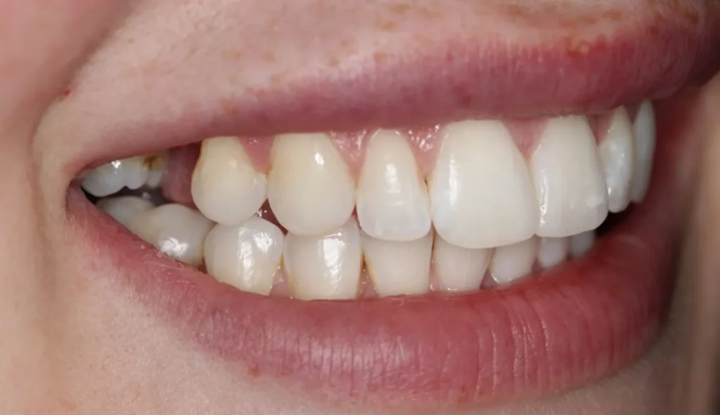
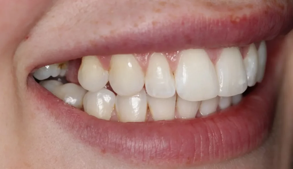
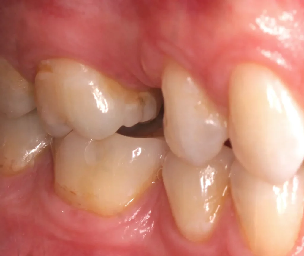
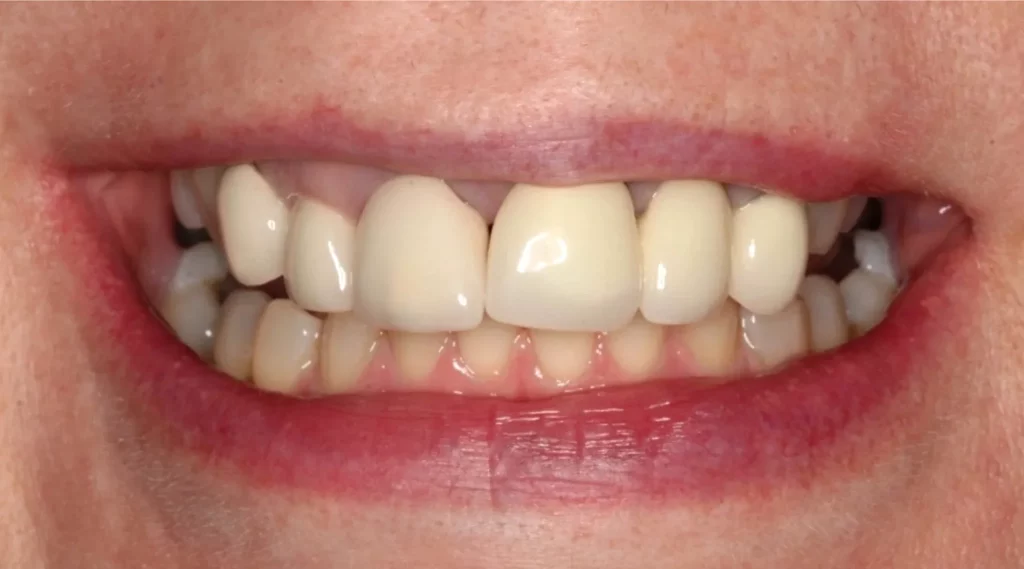
This lady was very upset after a dumbbell hit her mouth in the gym and knocked the front tooth out.


A temporary bridge was made to avoid her having to wear a temporary denture during the teatment, which is less comfortable.

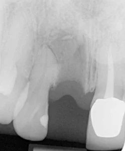
A single implant with bone grafting was placed.


Once the implant was bedded into the bone, a new porcelain crown was fitted on the implant, and a new crown was placed on the adjacent tooth to match in better.


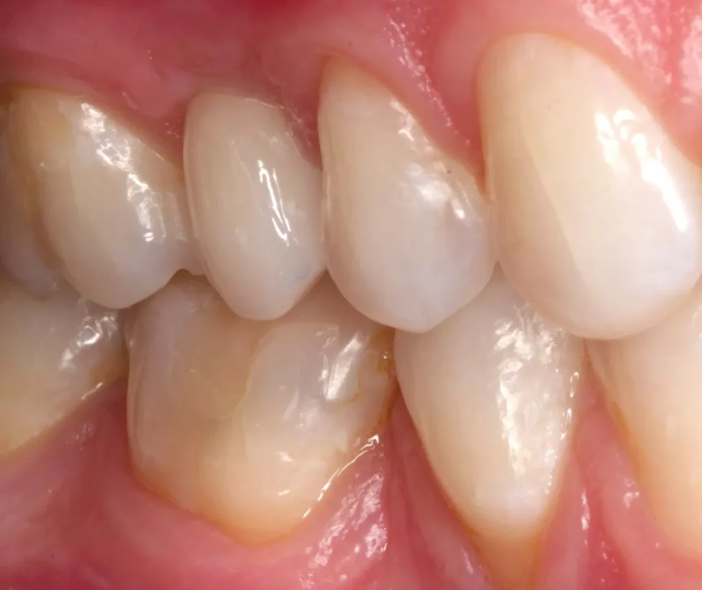
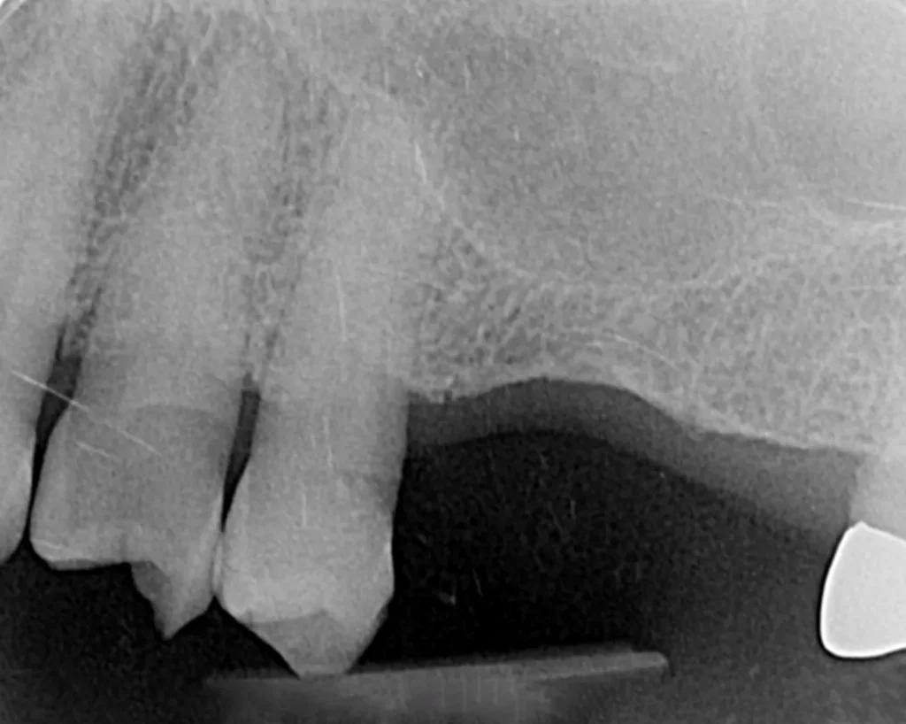
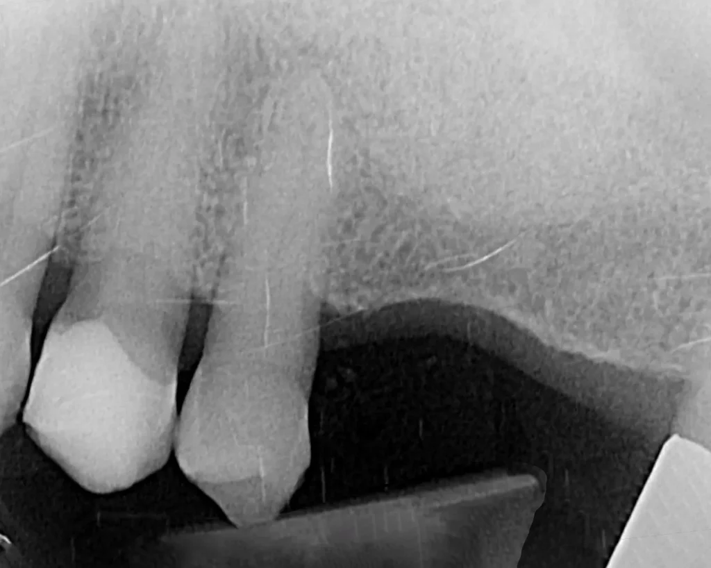
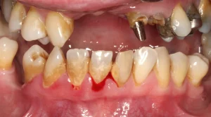
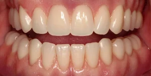
This lady attended Gentle after a previous implant had not worked. In the left photo below is a temporary bridge that kept falling out, which was frustrating for the patient, so she wanted to try again with implant treatment. Moreover, when she smiled, the adjacent eye tooth had an exposed root, so it looked too long. At the same time as placing gum around the implant, a gum graft was placed to cover the exposed eye tooth root. This improves the overall aesthetic outcome for the patient. Below on the right you can see how we took time to rebuild the bone and gum in the first phase of treatment, which gave the implant a solid foundation to sit in.


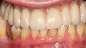
The implant was placed into the bone, under the gum, and a white post was chosen to fit into the implant to maximise the final crown’s appearance. The after photo was taken 5 years after the implant was placed and shows how nicely the work is performing.




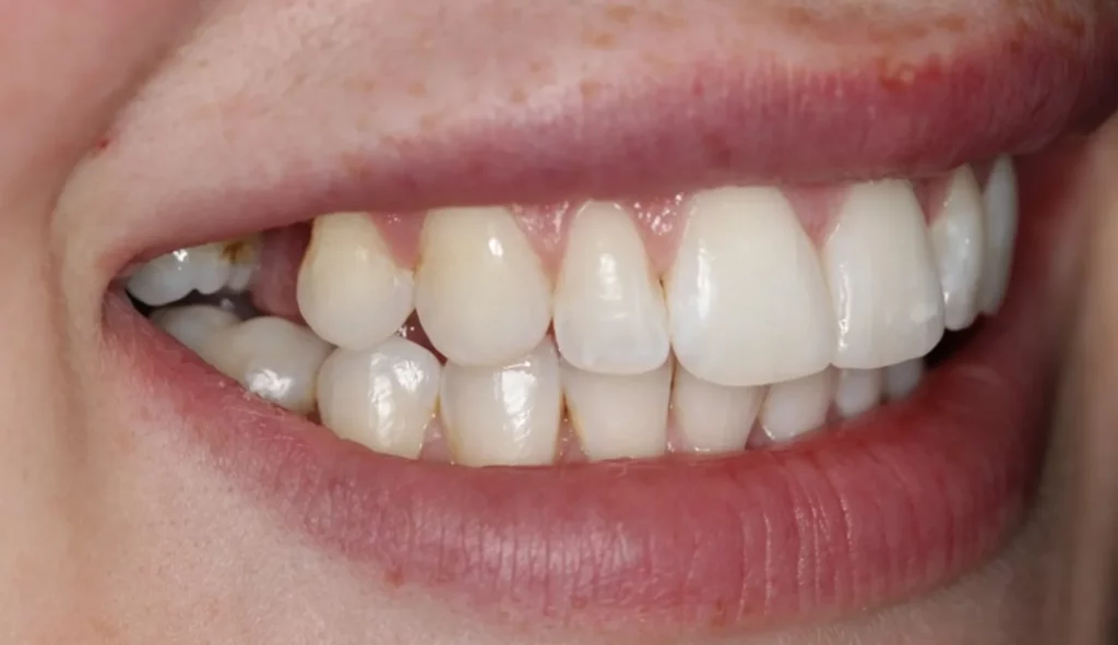
When this lady was younger, she had four teeth removed and then braces placed. However, the patient didn’t like her end smile; she felt it looked too narrow, so she sought more treatment.



At the beginning of treatment, the top gaps were too narrow to place the correct size of the premolar tooth. So braces were put on, and the gaps were opened up. When we achieved enough space, we could place the implants on either side of the top jaw. Porcelain crowns were placed on the implants. A while later, we added composite bonding on other teeth to further improve the patient’s bite, bringing additional comfort to her facial muscles and jaws.






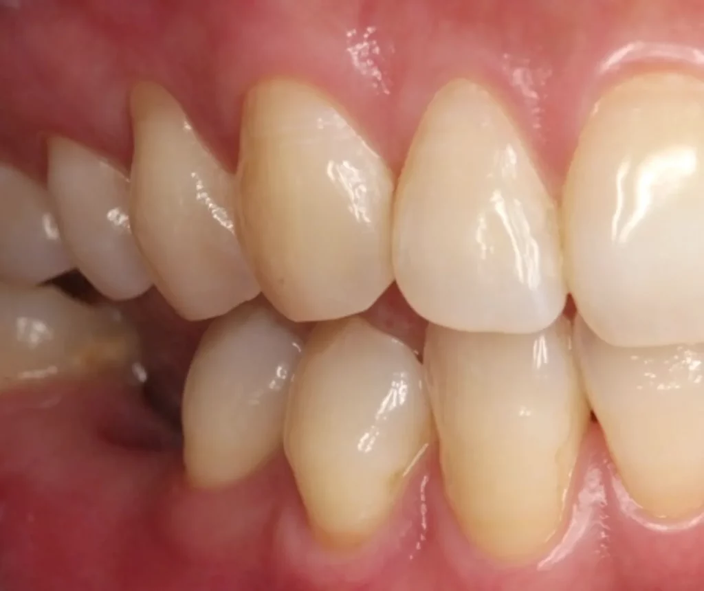
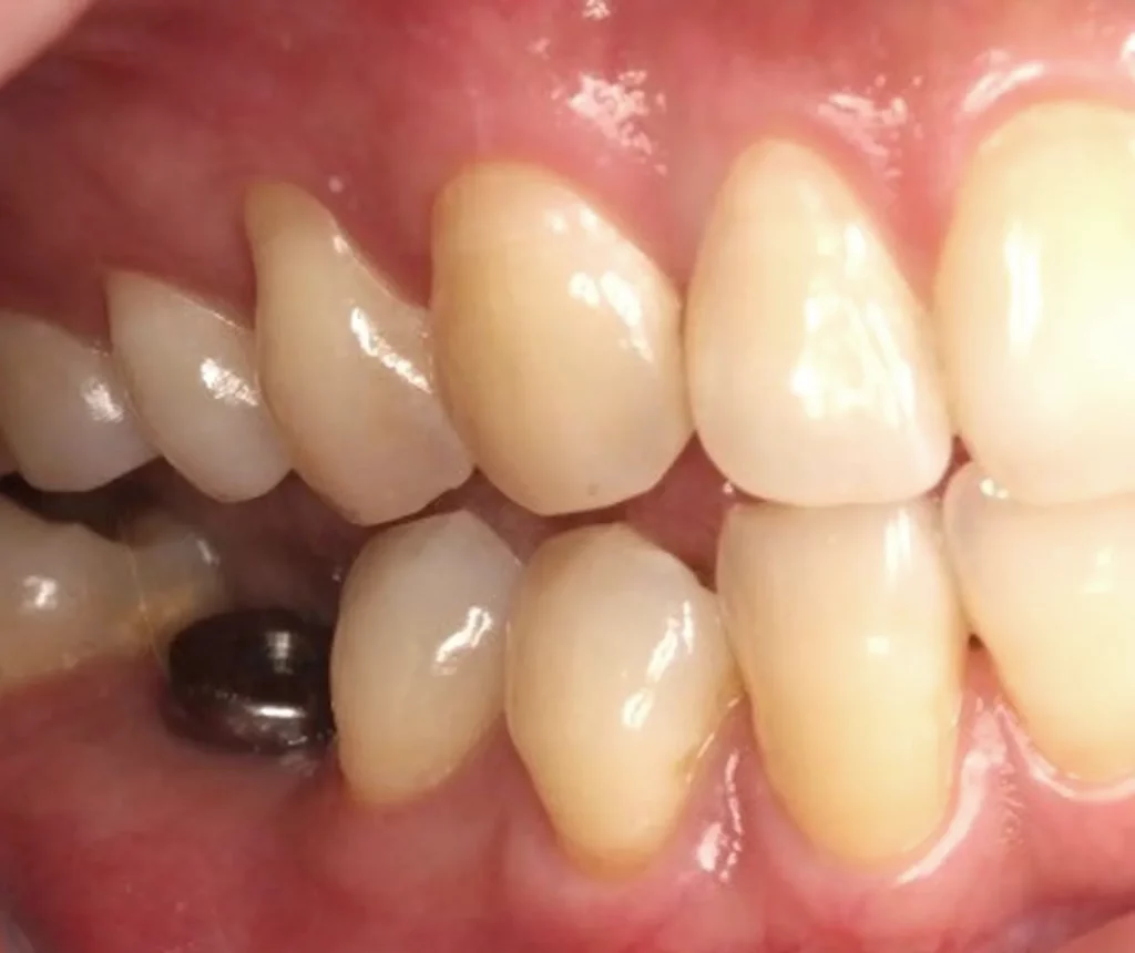
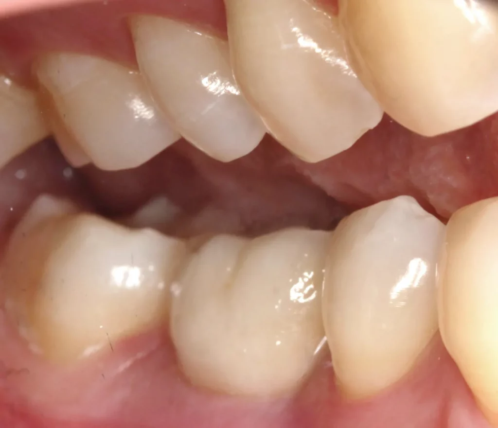
This woman had a badly broken down lower molar that had split apart and had been painfully abscessing for months. Unfortunately, it was beyond saving, and it was extracted. Keen to have the space restored, the patient opted to have an implant placed.




Below shows the crown fitted on to the implant post.


One New Year’s Eve, we received a phone call from a distressed lady who said her top front bridge had fallen out unexpectedly. Regrettably, the two teeth that supported the bridge had decayed and couldn’t be fixed. The patient wanted to avoid wearing a long-term denture and had always longed for a better smile. She was very self-conscious when smiling, and like many people, having her photo taken was not her favourite event.


The above shows the two rotten teeth that were removed and went on to be replaced by two implants with gold posts.


Below is a temporary bridge worn during the treatment phase.

To achieve smile symmetry, the gum was recontoured around the adjacent teeth while others had gum grafts placed to reduce the speed of gum recession. Both the health and appearance of the smile were addressed.










At the back of everyone’s top jaw, there is an air sinus just above the roots of the back teeth. After removing a top back tooth, the air sinus drops down towards the mouth like an expanding balloon. When we place an implant, we need enough bone width and height to place the implant into. Frequently, there isn’t adequate bone height in the back part of the upper jaw for placing an implant. If this is the situation, we put some bone back in to create more bone height to facilitate placing the implant. This type of procedure is known as a sinus bone graft.





If there is enough bone, now there are new techniques which mean we can do the sinus bone graft and place the implant on the same day. This is easier, quicker, cheaper and more predictable for patients


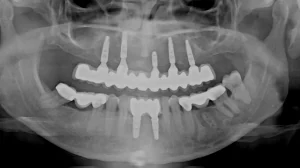
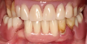
This lady was embarrassed by her yellow teeth and the gaps. The remaining upper teeth were loose from smoking-related gum disease. The upper front teeth were removed, and a temporary denture was placed to allow healing so that the implants could go into a clean bone environment with higher chances of treatment success. A few months later, six upper implants with bone grafting were placed and then a strong porcelain bridge with 12 teeth was fitted on top of the implants.


This patient was fed up with her denture and remaining loose upper teeth.

5 upper implants have been placed that support a bridge with 13 teeth in the top jaw.

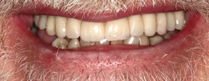
This is a full arch porcelain bridge which the lady was delighted with.


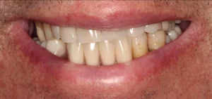
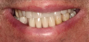
This gentleman felt that he had let his mouth go and was ready to get them sorted out. Even though he had most of his teeth, they were heavily decayed, abscessed, split and loose. Regrettably, his upper and lower teeth were past saving and were removed.

We placed eight upper jaw and six lower jaw implants. These were then joined with a bar.

Below left, you can see the inside of his denture with the metal sleeve that fits onto the bar. The custom-made bar is pictured on the right. Although the bars look different initially, patients love the bar’s stability for their dentures. The dentures are simple to remove and place. There’s no movement on eating, and cleaning and maintaining the implants long-term is easier.




This gentleman came to Gentle as he was concerned that you couldn’t see his teeth when he smiled and that they were continually breaking apart. His upper jaw was sitting way too far back, so his teeth didn’t meet correctly, and the upper lip appeared to collapse inwards.

We removed the hopeless teeth and placed four upper front implants. These were then joined with a bar which is brilliant for supporting a removable partial acrylic denture. The flexibility of a removable denture allowed us to improve his facial appearance by being able to build in the correct lip and facial support while at the same time improving how his teeth bit together and having the right amount of tooth on show when he smiled. In this case, we made the patient two partial dentures so that one would act as a spare.






This gentleman had been wearing partial dentures for years, and it was only when the last remaining teeth started to loosen that he sought treatment. He was worried that he would have to wear full dentures and that they would move around too much.


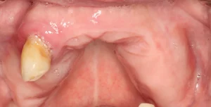
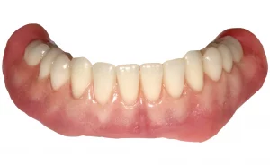
There was only one tooth remaining in the top jaw and two teeth in the lower jaw. These gum-diseased teeth were removed, and four upper and four lower implants were placed. New upper and lower dentures were made that clicked onto gold stud attachments on the implants.


On the left is the lower denture as seen from the front, and on the right, you can see the attachments that are fitted inside the lower denture. These allow the lower denture to click onto the four gold studs, in the photo below.







A dental implant is a small titanium post placed into the jawbone where a tooth is missing. Over time, the bone naturally fuses with the implant, creating a strong foundation. A custom-made crown, bridge, or denture is then attached to restore your smile.
Even if the gap isn’t visible, missing teeth can cause bone loss, shifting of nearby teeth, changes in your bite, and an aged appearance. Implants prevent these issues, restore chewing strength, and give you confidence when speaking and smiling.
Treatment times vary depending on your case, but most implant treatments take between 3-12 months. In some situations, temporary teeth can be fitted on the same day as implant placement, so you’re never left without a smile.
No. The procedure is carried out under strong local anaesthetic, and sedation is available for nervous patients. Most people are surprised by how comfortable the treatment feels and report less discomfort than they expected.
Most healthy adults are suitable. If you have sufficient bone and healthy gums, implants are usually possible. For those with bone loss, advanced techniques such as bone grafting or gum grafting can often create the right foundation.
Unlike bridges, implants don’t require neighbouring teeth to be trimmed down. Unlike dentures, they don’t move or need adhesive, and they help preserve bone and facial structure. Implants feel and function much more like natural teeth.
With good care, implants can last decades – many last a lifetime. Success depends on healthy gums, excellent cleaning, and regular check-ups. We design and teach you an “EasyClean” routine to help maximise longevity.
You don’t need an implant for every missing tooth. Several implants can support a bridge or even a full set of fixed teeth. Implant-supported dentures (“click-on” dentures) are also available for extra stability and comfort.
Costs depend on the number of implants, the type of restoration, and whether grafting is needed. Implant treatment is an investment, but we offer flexible finance options to spread the cost, and most patients find the benefits well worth it.
Caring for implants is similar to caring for natural teeth. Brush twice daily, clean between them, and attend regular hygiene visits. We recommend professional checks every 6-12 months to monitor the implant, bone, and gum health.